Ästhetische Versorgung

Exklusive Ästhetik für Ihr strahlendstes Lächeln.

Ein makelloses Lächeln ist mehr als Ästhetik – es ist ein Ausdruck von Stil, Persönlichkeit und Lebensqualität. Mit modernsten Behandlungsmethoden und höchster Präzision erschaffen wir für Sie eine Zahnästhetik, die Natürlichkeit und Eleganz perfekt vereint. Gönnen Sie sich den Luxus, Ihr Lächeln auf höchstem Niveau erstrahlen zu lassen.

Unsere Highlights für Ihr Traumlächeln

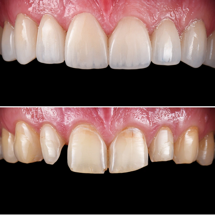
Veneers – die Perfektion in Keramik

Ob kleine Makel, Verfärbungen oder ungleichmäßige Zahnformen: Veneers verleihen Ihren Frontzähnen in kürzester Zeit ein harmonisches, strahlendes Aussehen. Die hauchdünnen Keramikschalen werden individuell für Sie gefertigt und sorgen für ein Ergebnis, das so schön wie natürlich wirkt.

Vorteile von Veneers

  • Natürlich schöne Zahnästhetik
  • Farb- und lichtbeständig
  • Schonende Behandlung mit langanhaltendem Ergebnis
  • Individuell an Ihre Wünsche angepasst

Wann sind Veneers die richtige Wahl?

  • Bei verfärbten oder fleckigen Zähnen
  • Bei schief stehenden oder ungleich geformten Frontzähnen
  • Zum Ausgleichen kleiner Zahnlücken
  • Für eine optische Verjüngung des Lächelns

Transparente Schienen (Aligner) – sanfte Zahnkorrektur ohne Brackets

Viele Erwachsene wünschen sich gerade Zähne, möchten aber keine feste Zahnspange tragen. Transparente Schienen (Aligner) sind eine moderne, nahezu unsichtbare Lösung zur Zahnkorrektur.

Vorteile von transparenten Schienen

  • Unsichtbar und angenehm zu tragen
  • Leicht herausnehmbar zum Essen und zur Zahnpflege
  • Schrittweise, sanfte Zahnbewegungen
  • Geeignet für leichte bis mittlere Zahnfehlstellungen

Für wen sind Aligner geeignet?

Transparente Schienen sind ideal für Erwachsene und Jugendliche, die Zahnfehlstellungen wie schiefe oder gedrehte Zähne diskret korrigieren möchten.

Ablauf der Behandlung

Nach einer ausführlichen Beratung und digitaler Abdrucknahme erstellen wir einen individuellen Behandlungsplan. Die Schienen werden regelmäßig gewechselt, bis Ihre Zähne Schritt für Schritt die gewünschte Position erreichen.

Amalgamsanierung – für ein gesundes Lächeln und mehr Wohlbefinden

Ihre Zähne begleiten Sie ein Leben lang – und verdienen die beste Pflege. Viele Patient:innen wünschen sich heute eine Entfernung alter Amalgamfüllungen, weil sie sich ein schöneres Lächeln, mehr Gesundheit und ein gutes Gefühl im Alltag wünschen.

Warum Amalgam ersetzen?

  • Für Ihre Gesundheit: Amalgam enthält Quecksilber. Auch wenn es lange Zeit üblich war, entscheiden sich immer mehr Menschen für moderne, verträgliche Alternativen.
  • Für Ihr Lächeln: Zahnfarbene Füllungen oder Keramiklösungen fügen sich unsichtbar in die Zahnreihe ein – für ein natürlich schönes Erscheinungsbild.
  • Für Ihr gutes Gefühl: Sie wissen, dass Ihre Zähne mit hochwertigen, biokompatiblen Materialien versorgt sind.

Sicherheit an erster Stelle

Eine Amalgamsanierung erfolgt bei uns besonders schonend und geschützt. Wir achten auf:

 

  • Spezielle Absaugtechniken und Schutzmaßnahmen, um Quecksilberdämpfe zu minimieren.
  • Schrittweise Entfernung, damit keine unnötige Belastung entsteht.
  • Ersatz durch hochwertige, verträgliche Materialien.

Ganzheitliche Begleitung

Auf Wunsch kombinieren wir die Amalgamsanierung mit einer unterstützenden Bio-Prophylaxe und beraten Sie zu begleitenden Maßnahmen, um den Körper bestmöglich zu entlasten.

Ihr Gewinn

  • Ein ästhetisch schöneres Lächeln ohne dunkle Füllungen.
  • Mehr Sicherheit und Wohlbefinden durch moderne, gesunde Materialien.
  • Ein gutes Gefühl, aktiv etwas für Ihre Gesundheit getan zu haben.

Herzliche Einladung

Wenn Sie über eine Amalgamsanierung nachdenken, vereinbaren Sie ein Beratungsgespräch. Wir erklären Ihnen alle Schritte in Ruhe und entwickeln gemeinsam einen individuellen, sicheren Behandlungsplan.

Keramikrestaurationen – natürlich, hochwertig, langlebig

Keramik vereint Ästhetik und Funktion auf höchstem Niveau. Ob Inlays, Onlays oder Kronen: Ihre Zähne werden stabil versorgt und gleichzeitig farblich so perfekt angepasst, dass niemand den Unterschied zum echten Zahn erkennt.

Vertrauen Sie auf unsere Erfahrung und modernste Technik – für ein Lächeln, das genauso einzigartig ist wie Sie.

KONTAKT

Folgen Sie uns